LAL-D is a rare, genetic disease that causes enzyme deficiency leading to progressive and ongoing multiorgan damage1

LAL-D May Be ASSOCIATED WITH SIGNIFICANT MORBIDITY REGARDLESS OF AGE OF PRESENTATION1-4

Spectrum of disease in LAL-D

All patient images are hypothetical

Infant being examined  by physician
Infant being examined  by physician

Infants2

Medical Emergency

  • Rapidly progressive disease
  • Complications of end-stage liver disease and premature mortality (<12 months)
Child being examined by physician
Child being examined by physician

Children2

Rapid progression to liver fibrosis and failure

  • Hepatosplenomegaly
  • Dyslipidemia
  • Slowed growth
Adults  being examined by physician
Adults being examined by physician

Adults1-4

Liver fibrosis/cirrhosis

  • Elevated transaminases
  • Marked dyslipidemia
  • Progressive premature atherosclerosis

Lysosomal acid lipase deficiency (LAL-D) may be hiding in your practice

lighting bolt icon

LAL-D Can be severe1

LAL-D is a rare, genetic disease that causes enzyme deficiency leading to progressive and ongoing multiorgan damage1

stethoscope icon

LAL-D is under-diagnosed5

Liver and lipid abnormalities in LAL-D overlap with the symptoms of other conditions2

Beaker icon

LAL-D TESTING IS SIMPLE AND INCLUDES A BLOOD DRAW2,6

LAL-D testing is widely available2,6

Learn more about LAL-D

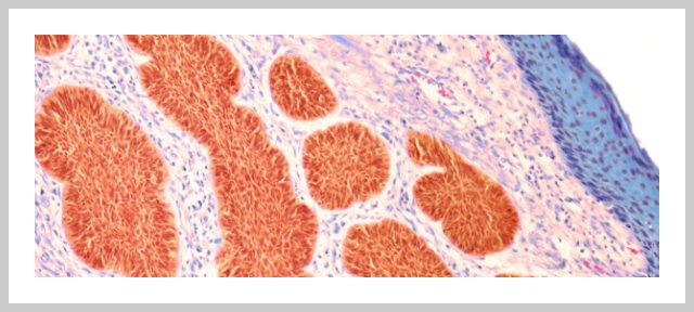
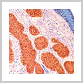
Image of cell clusters
Image of cell clusters

Progression of LAL-D

LAL-D progresses rapidly in infants and causes life-threatening multiorgan damage1

Nearly 50% of patients with LAL-D progress to fibrosis, cirrhosis, or liver transplant within 3 years of first clinical manifestation.7

Learn More

Image of cells
Image of cells

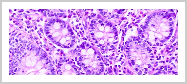
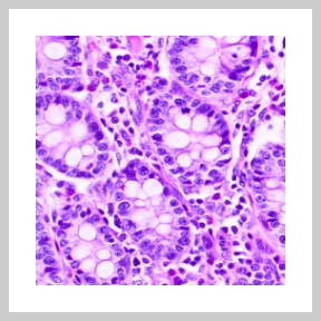
Liver Abnormalities with LAL-D

Rule out LAL-D when evaluating children and adults for NAFLD8,9

~100% of patients with LAL-D have liver consequences.1

Learn More

Image of fat cells under a microscope
Image of fat cells under a microscope

Lipid Abnormalities with LAL-D

Elevated ALT may help differentiate LAL-D from hereditary dyslipidemias1,2,10

LDL-C levels in LAL-D are comparable to other hereditary dyslipidemias.11

Learn More

Image of DNA sequencing
Image of DNA sequencing

Testing for LAL-D

ALT ↑ + LDL-C ↑ should prompt testing for LAL-D10

Early testing is critical, and you can test for LAL-D with a simple blood test.2,6

Learn More

Abbreviations: ALT, alanine aminotransferase; LAL-D, lysosomal acid lipase deficiency; LDL-C, low-density lipoprotein cholesterol; NAFLD, non-alcoholic fatty liver disease.

References: 1. Bernstein DL, et al. J Hepatol. 2013;58(6):1230-1243. 2. Reiner Ž, et al. Atherosclerosis. 2014;235(1):21-30. 3. Elleder M, et al. J Hepatol. 2000;32(3):528-34. 4. Vom Dahl S, et al. J Hepatol. 1999;31(4):741-6. 5. Valayannopoulos V, et al. Mol Genet Metab. 2017;120(1-2):62-66. 6. Lukacs Z, et al. Clinica Chimica Acta. 2017;471:201-205. 7. Burton BK, et al. Curr Med Res Opin. 2017;33(7):1211-1214. 8. Vos MB, et al. J Pediatr Gastroenterol Nutr. 2017;64(2):319-334. 9. Chalasani N, et al. Hepatology. 2018;67(1):328-357. 10. Burton BK, et al. J Pediatr Gastroenterol Nutr. 2015;61(6):619-625. 11. Pericleous M, et al. Lancet Gastroenterol Hepatol. 2017;2:670-679.

REGISTER TODAY
and receive all the latest LAL-D information.

*All fields are required

By clicking Submit, I agree to the Terms of Use