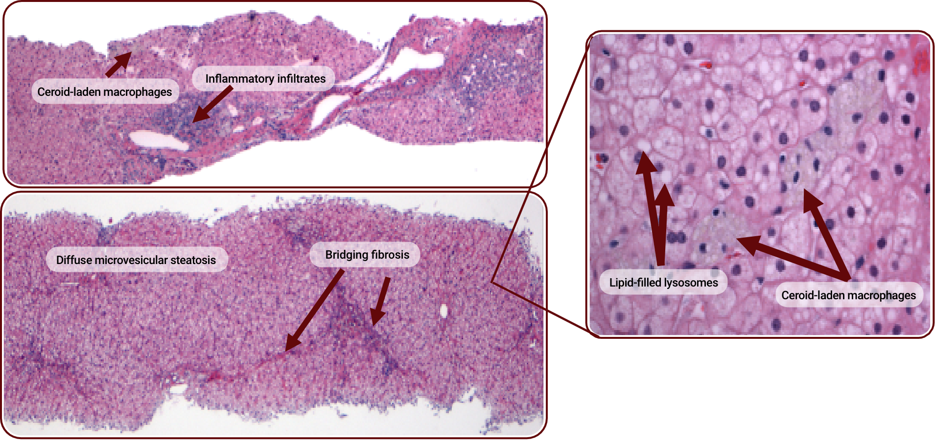
LIVER BIOPSY IS NOT REQUIRED FOR DIAGNOSIS OF LAL-D, BUT PATHOLOGIC CLUES CAN CONTRIBUTE TO SUSPICION IF BIOPSY HAS BEEN OBTAINED1
Suspected Liver Disorder Such as NAFLD/NASH with1,2: Elevated LDL-C, Elevated Liver Enzymes with Pathologic features of LAL-D (microvesicular/mixed steatosis, fibrosis, or cirrhosis)1-3
High Suspicion of LAL-D1-3
PATHOLOGIC FEATURES OF LAL-D ON LIVER BIOPSY CAN INCLUDE MICROVESICULAR OR MIXED STEATOSIS, FIBROSIS, AND/OR CIRRHOSIS1-3
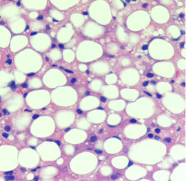
Panlobular Microvesicular Steatosis4
Images courtesy of Maria Fiel, MD, Mount Sinai Hospital, New York, NY, Dhanpat Jain, MD, Yale University School of Medicine, New Haven, CT, and Michael Raff, MD, Seattle Children’s Hospital, Seattle, WA.
LAL-D CAN RESEMBLE NAFLD ON BIOPSY, BUT THE PATTERN OF STEATOSIS CAN HELP DIFFERENTIATE3
LAL-D4


NAFLD4

Hematoxylin and eosin stain, high power
Image Microvesicular Steatosis, courtesy of Michael Raff, MD, Seattle Children’s Hospital, Seattle, WA.
Images Mixed Steatosis and Marcrovesicular Steatosis, courtesy of Maria Fiel, MD, Mount Sinai Hospital, New York, NY, Dhanpat Jain, MD, Yale University School of Medicine, New Haven, CT.
Abbreviations: LAL-D, lysosomal acid lipase deficiency; LDL-C, low-density lipoprotein cholesterol; NAFLD, nonalcoholic fatty liver disease; NASH, nonalcoholic steatohepatitis.
References: 1. Reiner Ž, et al. Atherosclerosis. 2014;235(1):21-30. 2. Bernstein DL, et al. J Hepatol. 2013;58(6):1230-1243. 3. Hülkova H, et al. Histopathology. 2012;60: 1107-1113. 4. Data on File, Alexion Pharmaceuticals. 5. Lukacs Z, et al. Clinica Chimica Acta. 2017;471:201-205.
REGISTER TODAY
and receive all the latest LAL-D information.
*All fields are required
By clicking Submit, I agree to the Terms of Use